Covid 19 Ct Segmentation Dataset - Covid-19 Realtime Info

A Fully Automatic Deep Learning System For Covid 19 Diagnostic And Prognostic Analysis European Respiratory Society

A Fully Automatic Deep Learning System For Covid 19 Diagnostic And Prognostic Analysis European Respiratory Society

Https Www Medrxiv Org Content 10 1101 2020 05 19 20107532v2 Full Pdf

Https Www Medrxiv Org Content 10 1101 2020 05 19 20107532v2 Full Pdf

The method takes only 029 second to segment a single ct slice.

Covid 19 ct segmentation dataset. Through experimental results on a relatively large scale ct segmentation dataset of around 900 images we show that adding this new regularization term leads. To the best of our knowledge this is the largest public covid 19 3d ct segmentation datasets. In response to the covid 19 pandemic the allen institute for ai has partnered with leading research groups to prepare and distribute the covid 19 open research dataset cord 19 a free resource. This is a dataset of 100 axial ct images from 40 patients with covid 19 that were converted from openly accessible jpg images found herethe conversion process is described in detail in the following blogpost.

2d anisotropic total variation is used for this purpose and therefore the proposed model is called tv unet. Investigators from nih and nvidia set out to develop and evaluate a deep learning algorithm to detect covid 19 on chest ct using data from a globally diverse multi institutional dataset. This dataset contains 6500 images of appa chest x rays with pixel level polygonal lung segmentations. 3 benchmark tasks are set up to promote studies on annotation efcient deep learning segmentation for covid 19 ct scans.

Use the command below to download only images presenting covid 19. Covid 19 training data for machine learning. We are inviting hospitals clinics researchers radiologists to upload more de identified imaging data especially ct scansthe purpose is to make available diverse set of data from the most affected places like south korea singapore italy france spain usa. Covid 19 radiology data collection and preparation for artificial intelligence in short the images were segmented by a radiologist using 3 labels.

This dataset contains 20 ct scans of patients diagnosed with covid 19 as well as segmentations of lungs and infections made by experts. Covid 19 ct segmentation dataset. Models that can find evidence of covid 19 andor characterize its findings can play a crucial role in optimizing diagnosis and treatment especially in areas with a shortage of expert radiologists. The obtained dice score sensitivity and specificity are 831 867.

The segmentation map for covid 19 pixels. There are 517 cases of covid 19 amongst these. Specically we focus on few shot. 20 well labelled covid 19 ct volume data are publicly released to the community.

Open source dataset for research.

A Deep Learning System To Screen Novel Coronavirus Disease 2019 Pneumonia Sciencedirect

A Deep Learning System To Screen Novel Coronavirus Disease 2019 Pneumonia Sciencedirect

Telematika Org Recent Research Papers On Covid 19 Focused Artificial Intelligence

Telematika Org Recent Research Papers On Covid 19 Focused Artificial Intelligence

Pdf Towards Efficient Covid 19 Ct Annotation A Benchmark For Lung And Infection Segmentation

Pdf Towards Efficient Covid 19 Ct Annotation A Benchmark For Lung And Infection Segmentation

Our Paper At Pubmed The First Miccai Challenge On Pet Tumor Segmentation Cancer Center Ai Ai In Oncology

Our Paper At Pubmed The First Miccai Challenge On Pet Tumor Segmentation Cancer Center Ai Ai In Oncology

An Automatic Covid 19 Ct Segmentation Network Using Spatial And Channel Attention Mechanism Deepai

An Automatic Covid 19 Ct Segmentation Network Using Spatial And Channel Attention Mechanism Deepai

Https Www Medrxiv Org Content 10 1101 2020 03 20 20039834v3 Full Pdf

Https Www Medrxiv Org Content 10 1101 2020 03 20 20039834v3 Full Pdf

Rsna Launches International Covid 19 Open Radiology Database Imaging Technology News

Rsna Launches International Covid 19 Open Radiology Database Imaging Technology News

A Voyage On Medical Image Segmentation Algorithms

A Voyage On Medical Image Segmentation Algorithms

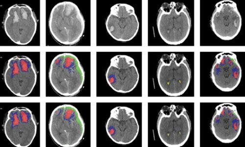
Ai Successfully Identifies Different Types Of Brain Injuries

Ai Successfully Identifies Different Types Of Brain Injuries

Github Ieee8023 Covid Chestxray Dataset We Are Building An Open Database Of Covid 19 Cases With Chest X Ray Or Ct Images

Github Ieee8023 Covid Chestxray Dataset We Are Building An Open Database Of Covid 19 Cases With Chest X Ray Or Ct Images

Https Www Preprints Org Manuscript 202003 0284 V1 Download

Https Www Preprints Org Manuscript 202003 0284 V1 Download

Radiomics Gathered From Ct Scans Predict Outcomes From Covid 19 Pneumonia Diagnostic Imaging

Radiomics Gathered From Ct Scans Predict Outcomes From Covid 19 Pneumonia Diagnostic Imaging

A Voyage On Medical Image Segmentation Algorithms

A Voyage On Medical Image Segmentation Algorithms

A Fully Automatic Deep Learning System For Covid 19 Diagnostic And Prognostic Analysis European Respiratory Society

A Fully Automatic Deep Learning System For Covid 19 Diagnostic And Prognostic Analysis European Respiratory Society

Intellispace Portal 8 0 Philips

Intellispace Portal 8 0 Philips

Iqgv6vpmtwatsm

Iqgv6vpmtwatsm

Automated Quantification Of Ct Patterns Associated With Covid 19 From Chest Ct Radiology Artificial Intelligence

Automated Quantification Of Ct Patterns Associated With Covid 19 From Chest Ct Radiology Artificial Intelligence

Pdf Sample Efficient Deep Learning For Covid 19 Diagnosis Based On Ct Scans

Pdf Sample Efficient Deep Learning For Covid 19 Diagnosis Based On Ct Scans

Pdf Multi Task Deep Learning Based Ct Imaging Analysis For Covid 19 Classification And Segmentation

Pdf Multi Task Deep Learning Based Ct Imaging Analysis For Covid 19 Classification And Segmentation

Https Arxiv Org Pdf 2004 05758

Https Arxiv Org Pdf 2004 05758

News Page 2 Of 9 Qmenta

News Page 2 Of 9 Qmenta

Mask Rcnn Detection Of Covid 19 Pneumonia Symptoms By Employing Stacked Autoencoders In Deep Unsupervised Learning On Low Dose High Resolution Ct Ieee Dataport

Mask Rcnn Detection Of Covid 19 Pneumonia Symptoms By Employing Stacked Autoencoders In Deep Unsupervised Learning On Low Dose High Resolution Ct Ieee Dataport

Https Arxiv Org Pdf 2004 10987

Https Arxiv Org Pdf 2004 10987

Myesr On Twitter Dlinradiology Have Shared A Number Of Highly Useful Covid 19 Ct Segmentation Datasets That May Help Radiologists In Their Diagnosis Of The Novel Disease Https T Co Vnprzruj16 Https T Co K4g7i9ncbj

Myesr On Twitter Dlinradiology Have Shared A Number Of Highly Useful Covid 19 Ct Segmentation Datasets That May Help Radiologists In Their Diagnosis Of The Novel Disease Https T Co Vnprzruj16 Https T Co K4g7i9ncbj

Https Www Researchsquare Com Article Rs 34596 V1 Pdf

Https Www Researchsquare Com Article Rs 34596 V1 Pdf

2

2

Pdf Deep Learning Models For Covid 19 Infected Area Segmentation In Ct Images

Pdf Deep Learning Models For Covid 19 Infected Area Segmentation In Ct Images

Https Encrypted Tbn0 Gstatic Com Images Q Tbn 3aand9gctn87pfdvghttdac3dq5joxxbwlrnlkkwxt6a Usqp Cau

Https Encrypted Tbn0 Gstatic Com Images Q Tbn 3aand9gctn87pfdvghttdac3dq5joxxbwlrnlkkwxt6a Usqp Cau

Entropy Free Full Text Classification Of Covid 19 Coronavirus Pneumonia And Healthy Lungs In Ct Scans Using Q Deformed Entropy And Deep Learning Features Html

Entropy Free Full Text Classification Of Covid 19 Coronavirus Pneumonia And Healthy Lungs In Ct Scans Using Q Deformed Entropy And Deep Learning Features Html

Ai Ct Scan Analysis For Covid 19 Detection And Patient Monitoring Synced

Ai Ct Scan Analysis For Covid 19 Detection And Patient Monitoring Synced

Covidiagnosis Net Deep Bayes Squeezenet Based Diagnosis Of The Coronavirus Disease 2019 Covid 19 From X Ray Images Abstract Europe Pmc

Covidiagnosis Net Deep Bayes Squeezenet Based Diagnosis Of The Coronavirus Disease 2019 Covid 19 From X Ray Images Abstract Europe Pmc

A Fully Automatic Deep Learning System For Covid 19 Diagnostic And Prognostic Analysis European Respiratory Society

A Fully Automatic Deep Learning System For Covid 19 Diagnostic And Prognostic Analysis European Respiratory Society

Truncated Inception Net Covid 19 Outbreak Screening Using Chest X Rays Research Square

Truncated Inception Net Covid 19 Outbreak Screening Using Chest X Rays Research Square

Segmentation Of Neck Lymph Nodes In Ct Datasets With Stable 3d Mass Spring Models Segmentation Of Neck Lymph Nodes Sciencedirect

Segmentation Of Neck Lymph Nodes In Ct Datasets With Stable 3d Mass Spring Models Segmentation Of Neck Lymph Nodes Sciencedirect

Ai Ct Scan Analysis For Covid 19 Detection And Patient Monitoring Synced

Ai Ct Scan Analysis For Covid 19 Detection And Patient Monitoring Synced

3d Cascaded Convolutional Networks For Multi Vertebrae Segmentation Bentham Science

3d Cascaded Convolutional Networks For Multi Vertebrae Segmentation Bentham Science

Https Www Preprints Org Manuscript 202003 0284 V1 Download

Https Www Preprints Org Manuscript 202003 0284 V1 Download

Bimcv Covid19 Bimcv

Bimcv Covid19 Bimcv

Deep Learning Based Multi View Fusion Model For Screening 2019 Novel Coronavirus Pneumonia A Multicentre Study European Journal Of Radiology

Deep Learning Based Multi View Fusion Model For Screening 2019 Novel Coronavirus Pneumonia A Multicentre Study European Journal Of Radiology

Fully Automatic Liver Segmentation Combining Multi Dimensional Graph Cut With Shape Information In 3d Ct Images Scientific Reports

Fully Automatic Liver Segmentation Combining Multi Dimensional Graph Cut With Shape Information In 3d Ct Images Scientific Reports

Mask Rcnn Detection Of Covid 19 Pneumonia Symptoms By Employing Stacked Autoencoders In Deep Unsupervised Learning On Low Dose High Resolution Ct Ieee Dataport

Mask Rcnn Detection Of Covid 19 Pneumonia Symptoms By Employing Stacked Autoencoders In Deep Unsupervised Learning On Low Dose High Resolution Ct Ieee Dataport

Quantitative Chest Ct Analysis In Covid 19 To Predict The Need For Oxygenation Support And Intubation Springerlink

Quantitative Chest Ct Analysis In Covid 19 To Predict The Need For Oxygenation Support And Intubation Springerlink

Data Augmentation Using Generative Adversarial Networks Cyclegan To Improve Generalizability In Ct Segmentation Tasks Scientific Reports

Data Augmentation Using Generative Adversarial Networks Cyclegan To Improve Generalizability In Ct Segmentation Tasks Scientific Reports

Covid 19 Radiology Data Collection And Preparation For Artificial Intelligence By Havard Bjorke Jenssen Medium

Covid 19 Radiology Data Collection And Preparation For Artificial Intelligence By Havard Bjorke Jenssen Medium

Https Arxiv Org Pdf 2004 07054

Https Arxiv Org Pdf 2004 07054

Https Hal Archives Ouvertes Fr Hal 02533605 Document

Https Hal Archives Ouvertes Fr Hal 02533605 Document

Ai Rad Companion Siemens Healthineers Indonesia

Ai Rad Companion Siemens Healthineers Indonesia

Pdf Sample Efficient Deep Learning For Covid 19 Diagnosis Based On Ct Scans

Pdf Sample Efficient Deep Learning For Covid 19 Diagnosis Based On Ct Scans

Classification Of Covid 19 Patients From Chest Ct Images Using Multi Objective Differential Evolution Based Convolutional Neural Networks Springerlink

Classification Of Covid 19 Patients From Chest Ct Images Using Multi Objective Differential Evolution Based Convolutional Neural Networks Springerlink

Auntminnieeurope S Ct Community

Auntminnieeurope S Ct Community

Radiomics Analysis Of Computed Tomography Helps Predict Poor Prognostic Outcome In Covid 19

Radiomics Analysis Of Computed Tomography Helps Predict Poor Prognostic Outcome In Covid 19

Ai Rad Companion Siemens Healthineers Indonesia

Ai Rad Companion Siemens Healthineers Indonesia

Applied Sciences Free Full Text Deep Learning System For Covid 19 Diagnosis Aid Using X Ray Pulmonary Images Html

Applied Sciences Free Full Text Deep Learning System For Covid 19 Diagnosis Aid Using X Ray Pulmonary Images Html

Data From The Training Set Of The 2019 Kidney And Kidney Tumor Segmentation Challenge C4kc Kits The Cancer Imaging Archive Tcia Public Access Cancer Imaging Archive Wiki

Data From The Training Set Of The 2019 Kidney And Kidney Tumor Segmentation Challenge C4kc Kits The Cancer Imaging Archive Tcia Public Access Cancer Imaging Archive Wiki

Https Hal Archives Ouvertes Fr Hal 02533605 Document

Https Hal Archives Ouvertes Fr Hal 02533605 Document

Https Www Preprints Org Manuscript 202003 0284 V1 Download

Https Www Preprints Org Manuscript 202003 0284 V1 Download

Automatic Approach For Lung Segmentation With Juxta Pleural Nodules From Thoracic Ct Based On Contour Tracing And Correction

Automatic Approach For Lung Segmentation With Juxta Pleural Nodules From Thoracic Ct Based On Contour Tracing And Correction

Https Encrypted Tbn0 Gstatic Com Images Q Tbn 3aand9gcqpzcelplws8w2jinj5bim7hcs9cyoa0 Kkfa Usqp Cau

Https Encrypted Tbn0 Gstatic Com Images Q Tbn 3aand9gcqpzcelplws8w2jinj5bim7hcs9cyoa0 Kkfa Usqp Cau

Entropy Free Full Text Classification Of Covid 19 Coronavirus Pneumonia And Healthy Lungs In Ct Scans Using Q Deformed Entropy And Deep Learning Features Html

Entropy Free Full Text Classification Of Covid 19 Coronavirus Pneumonia And Healthy Lungs In Ct Scans Using Q Deformed Entropy And Deep Learning Features Html

Ct Radiomics Radiologists And Clinical Information In Predicting Outcome Of Patients With Covid 19 Pneumonia Radiology Cardiothoracic Imaging

Ct Radiomics Radiologists And Clinical Information In Predicting Outcome Of Patients With Covid 19 Pneumonia Radiology Cardiothoracic Imaging

Hmdq6objshq71m

Hmdq6objshq71m

Covidiagnosis Net Deep Bayes Squeezenet Based Diagnosis Of The Coronavirus Disease 2019 Covid 19 From X Ray Images Abstract Europe Pmc

Covidiagnosis Net Deep Bayes Squeezenet Based Diagnosis Of The Coronavirus Disease 2019 Covid 19 From X Ray Images Abstract Europe Pmc

Automatic Segmentation Of Anatomical Structures From Ct Scans Of Thorax For Rtp

Automatic Segmentation Of Anatomical Structures From Ct Scans Of Thorax For Rtp

Classification Of Covid 19 Patients From Chest Ct Images Using Multi Objective Differential Evolution Based Convolutional Neural Networks Springerlink

Classification Of Covid 19 Patients From Chest Ct Images Using Multi Objective Differential Evolution Based Convolutional Neural Networks Springerlink

Https Arxiv Org Pdf 2004 12537

Https Arxiv Org Pdf 2004 12537

Pdf Rancang Deteksi Penyakit Covid 19 Menggunakan Analisa Tekstur Multi Class Pada Ct Scan Dada Afrizal M Yasin Academia Edu

Pdf Rancang Deteksi Penyakit Covid 19 Menggunakan Analisa Tekstur Multi Class Pada Ct Scan Dada Afrizal M Yasin Academia Edu

An Automatic Covid 19 Ct Segmentation Based On U Net With Attention Mechanism

An Automatic Covid 19 Ct Segmentation Based On U Net With Attention Mechanism

Covid 19 Ct Segmentation Dataset Qmenta

Covid 19 Ct Segmentation Dataset Qmenta

Https Www Preprints Org Manuscript 202003 0284 V1 Download

Https Www Preprints Org Manuscript 202003 0284 V1 Download

A Quantitative And Radiomics Approach To Monitoring Ards In Covid 19 Patients Based On Chest Ct A Retrospective Cohort Study

A Quantitative And Radiomics Approach To Monitoring Ards In Covid 19 Patients Based On Chest Ct A Retrospective Cohort Study

A Review Of Active Covid 19 Research And Datasets Paperspace Blog

A Review Of Active Covid 19 Research And Datasets Paperspace Blog

Computed Tomography Data Collection Of The Complete Human Mandible And Valid Clinical Ground Truth Models Scientific Data

Computed Tomography Data Collection Of The Complete Human Mandible And Valid Clinical Ground Truth Models Scientific Data

Https Arxiv Org Pdf 2004 12537

Https Arxiv Org Pdf 2004 12537

Pdf Classification Of Covid 19 Coronavirus Pneumonia And Healthy Lungs In Ct Scans Using Q Deformed Entropy And Deep Learning Features

Pdf Classification Of Covid 19 Coronavirus Pneumonia And Healthy Lungs In Ct Scans Using Q Deformed Entropy And Deep Learning Features

Https Www Researchsquare Com Article Rs 34596 V1 Pdf

Https Www Researchsquare Com Article Rs 34596 V1 Pdf

A New Covid 19 Patients Detection Strategy Cpds Based On Hybrid Feature Selection And Enhanced Knn Classifier Sciencedirect

A New Covid 19 Patients Detection Strategy Cpds Based On Hybrid Feature Selection And Enhanced Knn Classifier Sciencedirect

A Deep Learning System To Screen Novel Coronavirus Disease 2019 Pneumonia Sciencedirect

A Deep Learning System To Screen Novel Coronavirus Disease 2019 Pneumonia Sciencedirect

A Deep Learning Approach To Characterize 2019 Coronavirus Disease Covid 19 Pneumonia In Chest Ct Images Springerlink

A Deep Learning Approach To Characterize 2019 Coronavirus Disease Covid 19 Pneumonia In Chest Ct Images Springerlink

An Improved Fuzzy Connectedness Method For Automatic Three Dimensional Liver Vessel Segmentation In Ct Images

An Improved Fuzzy Connectedness Method For Automatic Three Dimensional Liver Vessel Segmentation In Ct Images

Automatic Segmentation Of Anatomical Structures From Ct Scans Of Thorax For Rtp

Automatic Segmentation Of Anatomical Structures From Ct Scans Of Thorax For Rtp

Https Hal Archives Ouvertes Fr Hal 02533605 Document

Https Hal Archives Ouvertes Fr Hal 02533605 Document

Ai Assisted Screening For Covid 19 Using Ct Images

Ai Assisted Screening For Covid 19 Using Ct Images

Pdf Multi Task Deep Learning Based Ct Imaging Analysis For Covid 19 Classification And Segmentation

Pdf Multi Task Deep Learning Based Ct Imaging Analysis For Covid 19 Classification And Segmentation

Ai Rad Companion Siemens Healthineers Indonesia

Ai Rad Companion Siemens Healthineers Indonesia

Explainable Ai And Covid 19 Chest X Rays Towards Data Science

Explainable Ai And Covid 19 Chest X Rays Towards Data Science

Ieee Dataport Dataset Upload Contest Entries Page 2 Ieee Dataport

Ieee Dataport Dataset Upload Contest Entries Page 2 Ieee Dataport

Https Www Preprints Org Manuscript 202003 0284 V1 Download

Https Www Preprints Org Manuscript 202003 0284 V1 Download

Does Non Covid19 Lung Lesion Help Investigating Transferability In Covid 19 Ct Image Segmentation Covid 19 Hub

Does Non Covid19 Lung Lesion Help Investigating Transferability In Covid 19 Ct Image Segmentation Covid 19 Hub

Automated Systems For Detection Of Covid 19 Using Chest X Ray Images And Lightweight Convolutional Neural Networks Research Square

Automated Systems For Detection Of Covid 19 Using Chest X Ray Images And Lightweight Convolutional Neural Networks Research Square

Entropy Free Full Text Classification Of Covid 19 Coronavirus Pneumonia And Healthy Lungs In Ct Scans Using Q Deformed Entropy And Deep Learning Features Html

Entropy Free Full Text Classification Of Covid 19 Coronavirus Pneumonia And Healthy Lungs In Ct Scans Using Q Deformed Entropy And Deep Learning Features Html

Medseg Free Medical Segmentation Online

Medseg Free Medical Segmentation Online

Ai Rad Companion Siemens Healthineers Indonesia

Ai Rad Companion Siemens Healthineers Indonesia

Pdf An Automatic Covid 19 Ct Segmentation Based On U Net With Attention Mechanism

Pdf An Automatic Covid 19 Ct Segmentation Based On U Net With Attention Mechanism

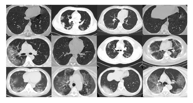
Deep Learning Models Can Detect Covid 19 In Chest Ct Scans

Deep Learning Models Can Detect Covid 19 In Chest Ct Scans

Modules In V0 2 0 Monai 0 Documentation

Modules In V0 2 0 Monai 0 Documentation

Ai Assisted Screening For Covid 19 Using Ct Images

Ai Assisted Screening For Covid 19 Using Ct Images

Ct Lung Density Analysis Healthcare It Canon Medical Systems

Ct Lung Density Analysis Healthcare It Canon Medical Systems

Https Hal Archives Ouvertes Fr Hal 02533605 Document

Https Hal Archives Ouvertes Fr Hal 02533605 Document